en el Hospital San Juan Bautista

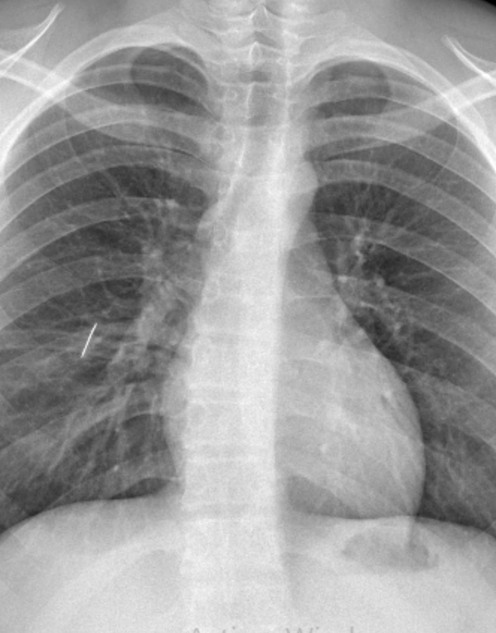
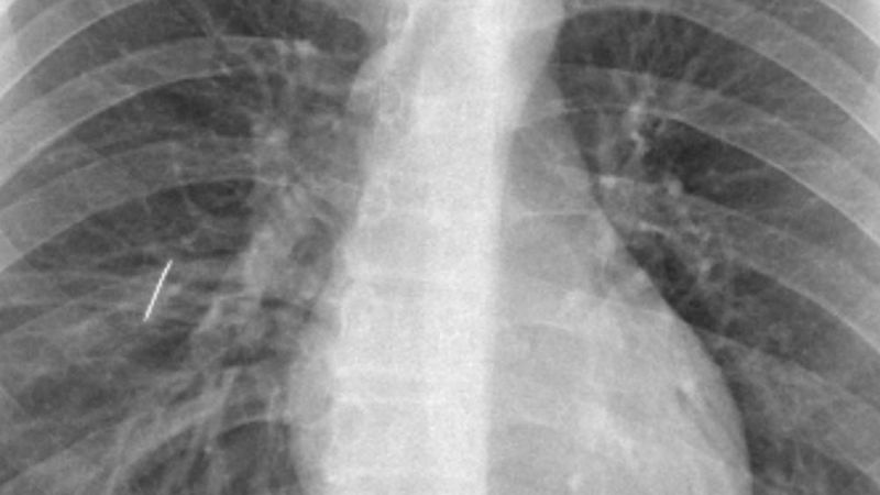
Extraen una aguja de coser del pulmón de un joven

Un equipo médico del Hospital Interzonal San Juan Bautista llevó adelante una intervención quirúrgica de alta complejidad para extraer una aguja de coser alojada en el pulmón de un adolescente de 16 años, oriundo de Tinogasta, quien había sufrido un accidente doméstico.
jueves, 2 de abril de 2026 13:55
jueves, 2 de abril de 2026 13:55

El joven ingresó al centro de salud tras ser derivado desde su localidad de origen, luego de que un objeto metálico le provocara un trauma penetrante de tórax al apoyarse sobre una caja. Tras los primeros estudios, se confirmó la presencia de la aguja en el pulmón, lo que motivó una rápida intervención del equipo médico.

En una primera instancia, profesionales del área de Emergencias realizaron un drenaje torácico para evacuar aire, sangre y secreciones. Sin embargo, debido a que el pulmón no lograba expandirse por la presencia del objeto, se decidió avanzar con una cirugía abierta.

La operación, que se extendió durante aproximadamente una hora y media, estuvo a cargo del cirujano Fernando Lestussi junto al equipo del Servicio de Cirugía General. Por la complejidad y la ubicación del cuerpo extraño, se optó por una técnica quirúrgica más invasiva, aunque el paciente respondió favorablemente y no presentó complicaciones.

Un aspecto clave del procedimiento fue la intervención del equipo de Anestesiología, que realizó una intubación selectiva mediante fibrobroncoscopio. Esta técnica permitió ventilar un solo pulmón mientras el otro permanecía inactivo, facilitando así la extracción del objeto con mayor precisión y seguridad.

“El caso no podía derivarse por el alto riesgo que implicaba el traslado, por lo que debía resolverse en nuestro hospital. Es una gran satisfacción haberlo logrado con profesionales locales”, explicó el Dr. Lestussi, quien además destacó la importancia del trabajo conjunto entre los distintos servicios.

Actualmente, el paciente evoluciona de manera favorable y se encuentra en buen estado general, con posibilidades de recibir el alta en los próximos días.

Desde el hospital resaltaron que este tipo de intervenciones reflejan la capacidad del sistema de salud público para dar respuesta a situaciones complejas sin necesidad de derivaciones, gracias al trabajo articulado entre el Hospital de Tinogasta, el sistema de emergencias y los equipos médicos especializados.

El equipo quirúrgico estuvo integrado por los cirujanos Fernando Lestussi y Héctor Leiva; la anestesióloga Daniela Cruz; y el personal de quirófano, compuesto por el instrumentador Carlos Cardozo y el circulante Nicolás Marcial.

Comentarios