El fiscal Miguel Mauvecín mantuvo la acusación por lesiones graves agravada por la relación preexistente de convivencia y violencia de género, solicitando la pena de cuatro años de prisión. Luego se escuchó a la abogada querellante Marcela González, y finalmente a la defensa del imputado.
Tras un cuarto intermedio, alrededor del mediodía, la audiencia volvió a reanudarse y por unanimidad el tribunal integrado por Marcelo Soria, Jorge Palacios y Patricia Olmi, declaró culpable a Leonardo Lazarte y lo condeno a la pena de cuatro de prisión y su inmediato traslado al servicio penitenciario provincial.
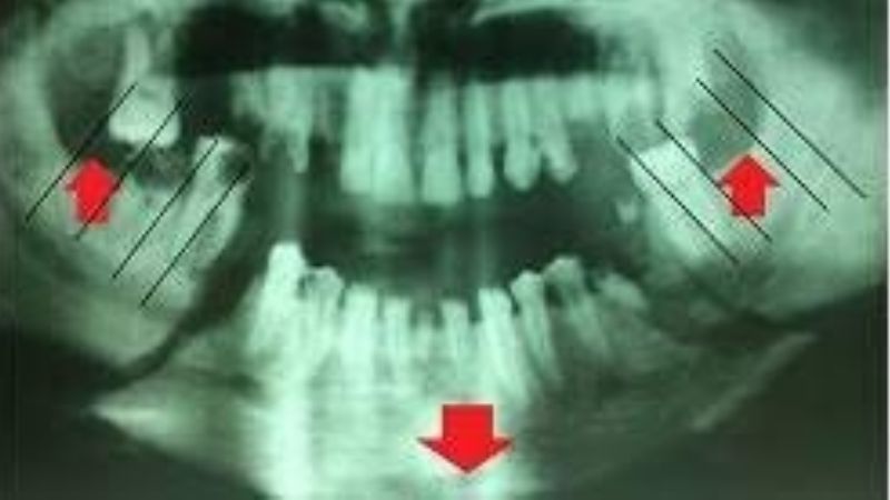
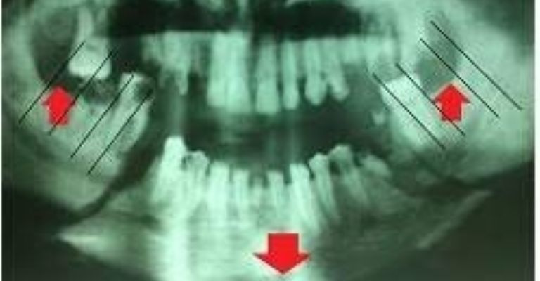
El caso ocurrió en febrero pasado, cuando el culpable le propinó dos golpes de puño en el rostro a su pareja provocándole una grave fractura de su mandíbula con deformación de rostro, tal como lo muestra la radiografía practicada a la víctima y que fue expuesta durante el juicio.
